AE-Adult-Echocardiography AE Adult Echocardiography Examination Questions and Answers
During which phase of the cardiac cycle does the left ventricular filling pressure equalize with left atrial pressure?
Which Doppler signal is most consistent with significant aortic valve regurgitation?
Which method of measuring left atrial size is most recommended and most accurate?
A patient presents in the emergency room with a history of chronic high Wood pressure and new onset severe back pain. A physical exam reveals a new diastolic murmur. Which would be the most likely finding?
A patient presents with tender, red lesions on their fingers and toes (Osier nodes). Which finding is most likely?
Which of the following occurs during the strain phase of the Valsalva maneuver?
In patients with interrupted aortic arch, which structure allows Wood to flow into the descending aorta?
Which of the following conditions will increase in seventy with Valsalva maneuver?
Which procedure is most appropriate for evaluation of an atrial septal defect in the presence of an atrial septal aneurysm?
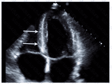
Which is the most likely abnormality represented in these images from a 48-year-old man with shortness of breath?


Which maneuver aids in uncovering potential diastolic dysfunction while performing pulsed wave Doppler of the mitral valve?
A patient with a ventricular septal defect, an atrial septal defect, and a cleft mitral valve is likely to have which abnormality?
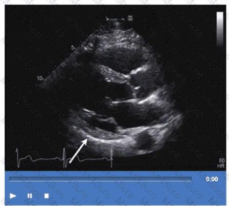
Which coronary artery territory is associated with the wall motion abnormality demonstrated in this video?

The parasternal long axis view can be used to visualize which anatomical structure?
A mitral valve pressure half-time of 220 ms is consistent with what mitral valve area?
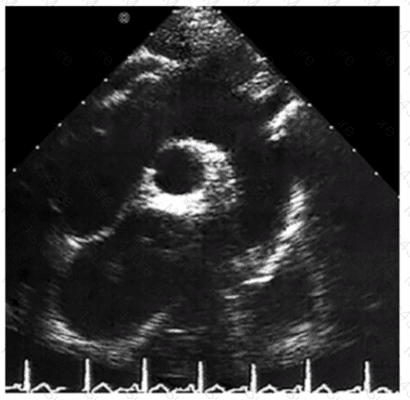
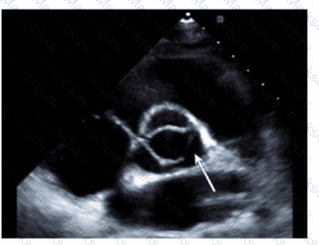
Which type of mass is typically attached to the fossa ovalis of the left atrium?
Which next step is appropriate after obtaining the Doppler signal in this image?

How must the sonographer angle the transducer from the apical four-chamber view in order to visualize the aortic valve in the apical five-chamber view?
Which critical finding is most likely to require immediate surgical intervention?
Which Doppler signal is used to calculate the pulmonary artery end-diastolic pressure gradient?
Which statement is considered true regarding tricuspid annular plane systolic excursion (TAPSE)?







